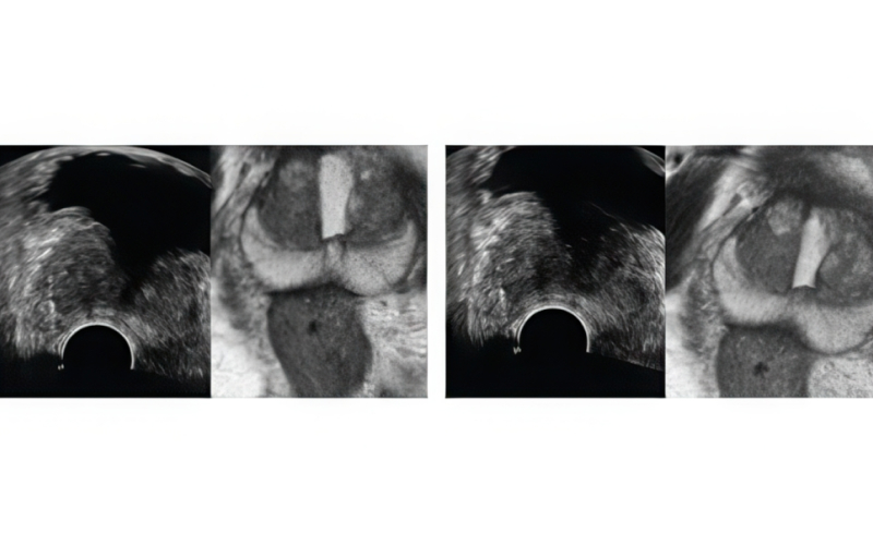
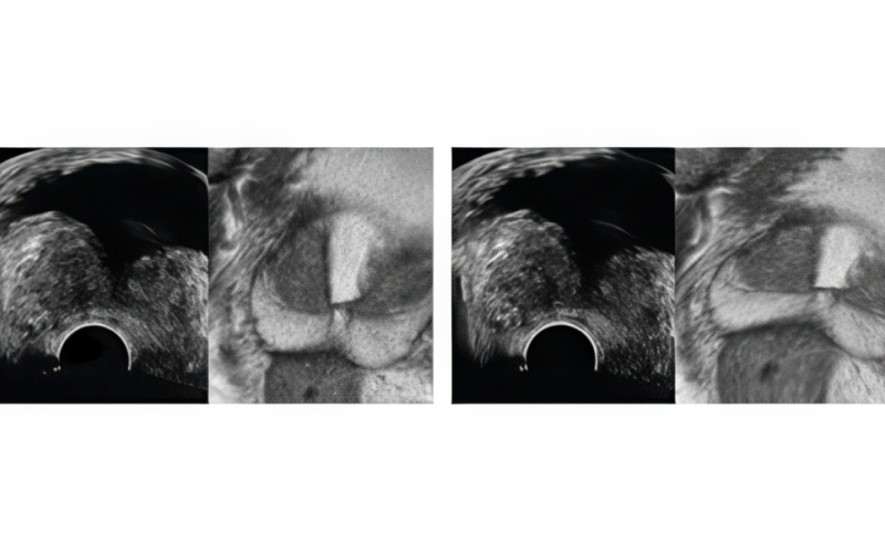
전립선을 자동으로 분석해 경계 분할
boraware active
AI CURATION
스마트한 골드만 AI에게
당신의 증상을 간단히 써주세요.
| 기존 전립선 조직검사 |
|---|
| 전통적인 초음파 검사 활용 |
|
· 12군데를 무작위로 채취 · 약 25~35%의 진단율 · 재검 확률이 상대적으로 높음 · 통증 부담이 높음 |
| 골드만 MR 퓨전 조직검사 |
|---|
| 신의료기술 활용 |
|
· 병변을 정확히 채취 · 71.4%의 진단율 · 한 번의 검사로 끝날 확률이 높음 · 통증 ½로 감소 |






진단 정확도
2배 향상
3D 영상
병변 정확 탐지
대학병원 대비
합리적인 비용
무통 마취
통증 최소화



※ 관련 연구자료: SCI급 논문: MRI-초음파 융합 조직검사 비교 연구
대한비뇨기종양학회지: MRI-초음파 융합 조직검사 우수성 입증
전립선 조직검사의 새로운 기준,
MR 퓨전 조직검사가 주목받는 이유.
최첨단 AI와 3D 융합 영상으로 진단 정확도를 혁신적으로 높인 골드만만의 특별한 조직검사입니다.
골드만 비뇨의학과는 무통 마취를 통해 통증을 최소화합니다. 또한 MR 퓨전 조직검사는 기존 검사보다 통증이 적고 재검 확률이 낮아 부담을 덜 수 있습니다.
회복 기간은 통상적으로 짧아 일상생활 복귀가 빠릅니다. 대부분의 환자가 당일 퇴원이 가능하며 일상적인 활동에 큰 지장이 없습니다.
MRI 촬영 영상을 가져오시면 검사 준비가 완료됩니다. 골드만에서는 예약부터 검사까지 원스톱으로 진행하며 빠른 검사와 결과 확인이 가능합니다. 또한 검사 후에도 지속적인 추적 관찰과 세심한 사후 케어를 제공합니다.
기존 검사는 병변 유무와 관계없이 12군데를 무작위로 채취해 정확도가 낮고 재검 가능성이 높았습니다. 하지만 MR 퓨전 조직검사는 병변을 직접 겨냥해 조직을 채취하므로 진단율이 크게 향상되었습니다.
무통 마취가 적용되어 대부분의 환자분들이 큰 통증 없이 검사를 받으실 수 있습니다. 통증 부담은 기존 검사보다 훨씬 적습니다.