boraware active
AI CURATION
스마트한 골드만 AI에게
당신의 증상을 간단히 써주세요.
요로결석 환자의
신장요관방광단순촬영(KUB)
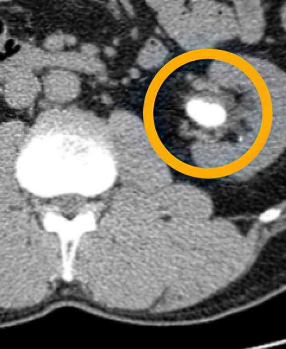
요로결석 환자의
복부CT 영상




유로닷 AI는 보건복지부가 혁신의료기술로 지정한 CT 기반 인공지능 결석 검출 솔루션입니다.

It’s Advanced! 요로결석 치료,
골드만이 앞서가는 이유 BIG 5
결석의 크기, 위치, 증상이 환자마다 다르기 때문에 골드만은 첨단 장비로 정밀 진단해 개인별 맞춤 치료를 제공합니다.
재발 방지까지 고려한 최적 치료와 체계적 관리로 신장 건강을 지킵니다.
골드만에서는 대사 검사를 통해 어떤 결석이 주로 생기는지 파악하여 재발 방지가 가능합니다. 자세한 내용은 상담을 통해 안내해드리겠습니다.
체외충격파쇄석술은 1회 기준 30~50만원이고 요관내시경 수술은 100~300만원입니다. 하지만 수술 비용은 개인의 상태에 따라 달라질 수 있으므로 정확한 내용은 내원 혹은 상담을 통해 확인해주시기 바랍니다.
경우에 따라 다르지만, 일반적인 경우 2시간을 넘지 않습니다. 마취와 예후 관찰을 위해 6시간 정도 병원에 머무르지만 당일 퇴원이 가능하다는 장점이 있습니다.
요로결석을 방치하면 결석이 요로를 막아 소변이 제대로 배출되지 않으면서 감염이 생기거나 신장 기능이 점차 나빠질 수 있습니다. 심한 경우에는 신부전 같은 심각한 합병증으로 이어질 수도 있으니 증상이 있거나 결석이 확인되면 빠른 치료가 꼭 필요합니다.
25년
200만건+
6천 건+
1만 건+
약 40% 집도
15년 임상경력
최첨단 AI 시스템